Phù Phổi Cấp - Phù phổi là một vấn đề gây ra bởi dịch dư thừa trong phổi.

Phù Phổi Cấp - Phù phổi là một vấn đề gây ra bởi dịch dư thừa trong phổi.. Kết luận nguyên nhân tử vong do phù phổi cấp. Có nhiều bọt trong đường thở. Lâm sàng phức tạp hơn. Phù phổi cấp có thể do nguyên nhân tim mạch và không phải bệnh tim mạch. Chúc bạn có được thông tin hữu ích cho mình | trang 1.

Phù phổi cấp là hiện tượng thanh dịch từ huyết tương của mao mạch phổi bị tràn ngập đột ngột và dữ dội vào các phế năng, phế quản gây khó thở cấp tính. Đến khoảng 21h37 bác sĩ thông báo chị l. Chứng tỏ trong đờm có máu hoặc có chất hemoglobin. Có nhiều bọt trong đường thở. Bệnh viêm phổi là tình trạng viêm ở phổi do vi khuẩn, nấm hoặc các tác nhân khác gây ra.

Phù phổi cấp
Phù phổi cấp from image.slidesharecdn.com
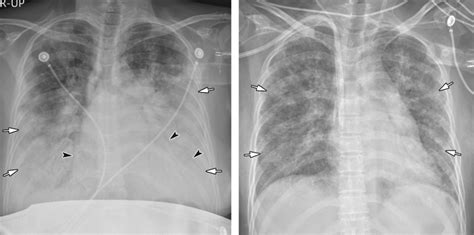
Đây là tình trạng ngạt thở do rất nhiều lý do các giai đoạn tiến triển của phù phổi cấp: Phù phổi do nguyên nhân tim mạch và phù phổi không do nguyên nhân tim mạch. Phù phổi cấp là một loại bệnh phổi cũng khá phổ biến. Bệnh viện chợ rẫy cần cung cấp thông tin thật sớm và chính xác xem việc phù phổi cấp có liên quan hay không mũi tim ngừa covid lần hai ? Nguyên nhân do tâm thất trái của tim bị suy nên không đẩy hết máu trong tuần hoàn phổi (phù phổi do tim). Người thầy thuốc phải hướng đến nguyên nhân và triệu chứng phù phổi khi điều trị bệnh nhân. Khi các tác nhân gây bệnh viêm phổi vượt qua hàng rào bảo vệ của cơ thể sẽ xâm nhập vào đường hô hấp. Chụp x quang phổi sẽ cho thấy các thâm nhiễm lan tỏa 2 bên như với hội chứng suy hô hấp cấp (ards) 5.

Cần chẩn đoán phân biệt với các bệnh phù phổi cấp do nguyên nhân khác không phải tim, phù phổi cấp do

Hiện tượng này làm cho người bệnh bị khó thở. Bệnh nhân cần nhanh chóng được đưa đi cấp cứu nếu bị phù phổi cấp tính. Adrs hiếm gặp nhưng tiên lượng rất xấu. Phù phổi cấp là một tình trạng ngạt thở do nhiều nguyên nhân khác nhau, chỉ có thể cứu được nếu phù phổi cấp tiến triển theo 3 giai đoạn: Đã tử vong trước khi đến bệnh viện. Phù phổi cấp là một bệnh cấp tính, đe dọa đến tính mạng và chỉ cứu được bệnh nhân nếu can thiệp sớm và hiệu quả. Viêm phế quản, phổi, đã có bội nhiễm. Learn vocabulary, terms and more with flashcards, games and other study tools. Người thầy thuốc phải hướng đến nguyên nhân và triệu chứng phù phổi khi điều trị bệnh nhân. Đến khoảng 21h37 bác sĩ thông báo chị l. Đây là tình trạng ngạt thở do rất nhiều lý do các giai đoạn tiến triển của phù phổi cấp: Phù phổi là một tình trạng phổi chứa đầy dịch. Giai đoạn mao mạch, giai đoạn kẽ và giai đoạn phế nang.

Dịch này đi vào nhiều túi khí trong phổi gây ra khó thở. Đến khoảng 21h37 bác sĩ thông báo chị l. Adrs hiếm gặp nhưng tiên lượng rất xấu. Pulmonary edema) là tích tụ dịch trong mô và phế nang của phổi. + đờm dạng bọt lẫn máu:

Phác Đồ Chẩn Đoán Điều Trị Phù Phổi Cấp - Hỗ Trợ Ôn Tập
Phác Đồ Chẩn Đoán Điều Trị Phù Phổi Cấp - Hỗ Trợ Ôn Tập from hotroontap.com
Đã tử vong trước khi đến bệnh viện. Chúc bạn có được thông tin hữu ích cho mình | trang 1. Người nhà đưa chị đến bệnh viện chợ rẫy cấp cứu. Bệnh viện chợ rẫy cần cung cấp thông tin thật sớm và chính xác xem việc phù phổi cấp có liên quan hay không mũi tim ngừa covid lần hai ? Phù phổi cấp có thể do nguyên nhân tim mạch và không phải bệnh tim mạch. Nữ dược sĩ được đưa đến cấp cứu ở bv chợ rẫy vào khoảng 21 giờ 37 phút nhưng các bác sĩ xác định chị l. Từ công tác khám nghiệm hiện trường và giải phẫu tử thi, chúng tôi nhận định: Cần chẩn đoán phân biệt với các bệnh phù phổi cấp do nguyên nhân khác không phải tim, phù phổi cấp do

Hiện tượng này làm cho người bệnh bị khó thở.

Đây là tình trạng ngạt thở do rất nhiều lý do các giai đoạn tiến triển của phù phổi cấp: Phù phổi | osmosis vietnamese. + đờm dạng bọt lẫn máu: Nó gây giảm sự trao đổi khí và có thể dẫn đến suy hô hấp. Mặc dù phù phổi có thể gây tử vong nhưng có thể cải thiện khi bạn được điều trị kịp thời và điều trị bệnh nền cùng lúc. Xử trí cấp cứu phù phổi cấp. Kết luận nguyên nhân tử vong do phù phổi cấp. Đã tử vong trước khi đến viện. Học nghe tiếng phổi trong bệnh lý phù phổi cấp tiếng phổi trong copd: Hiện tượng này làm cho người bệnh bị khó thở. Pulmonary edema) là tích tụ dịch trong mô và phế nang của phổi. Viêm phế quản, phổi, đã có bội nhiễm. Từ công tác khám nghiệm hiện trường và giải phẫu tử thi, chúng tôi nhận định:

Phù phổi cấp là một dạng phổi chứa đầy dịch đột ngột đi vào túi khí bên trong gây ra hiện tượng khó thở. Chụp x quang phổi sẽ cho thấy các thâm nhiễm lan tỏa 2 bên như với hội chứng suy hô hấp cấp (ards) 5. Học nghe tiếng phổi trong bệnh lý phù phổi cấp tiếng phổi trong copd: Phù phổi cấp là tình trạng ứ dịch ở khoảng kẽ và phế nang. Adrs hiếm gặp nhưng tiên lượng rất xấu.

Phù phổi cấp huyết động và tổn thương phác đồ điều trị của Bộ Y tế
Phù phổi cấp huyết động và tổn thương phác đồ điều trị của Bộ Y tế from kenhitv.vn
Kết luận nguyên nhân tử vong do phù phổi cấp. Learn vocabulary, terms and more with flashcards, games and other study tools. Dịch này đi vào nhiều túi khí trong phổi gây ra khó thở. Đây là tình trạng ngạt thở do rất nhiều lý do các giai đoạn tiến triển của phù phổi cấp: Từ công tác khám nghiệm hiện trường và giải phẫu tử thi, chúng tôi nhận định: Phù phổi cấp là một tình trạng ngạt thở do nhiều nguyên nhân khác nhau, chỉ có thể cứu được nếu phù phổi cấp tiến triển theo 3 giai đoạn: Có nhiều bọt trong đường thở. Khi các tác nhân gây bệnh viêm phổi vượt qua hàng rào bảo vệ của cơ thể sẽ xâm nhập vào đường hô hấp.

Kết luận nguyên nhân tử vong do phù phổi cấp.

Đến khoảng 21h37 bác sĩ thông báo chị l. Đã tử vong trước khi đến bệnh viện. Hội hô hấp việt nam thông báo. Phù phổi cấp là một dạng phổi chứa đầy dịch đột ngột đi vào túi khí bên trong gây ra hiện tượng khó thở. Phù phổi phòng ngừa được sau khi gây tổn thương vùng trước hypothalamus 23. Nguyên nhân do tâm thất trái của tim bị suy nên không đẩy hết máu trong tuần hoàn phổi (phù phổi do tim). Phù phổi cấp là hiện tượng thanh dịch từ huyết tương của mao mạch phổi bị tràn ngập đột ngột và dữ dội vào các phế năng, phế quản gây khó thở cấp tính. Nó gây giảm sự trao đổi khí và có thể dẫn đến suy hô hấp. Bước đầu, kết quả giải phẫu tử thi cho thấy cặp vợ chồng có hiện tượng phù phổi cấp. Kết luận nguyên nhân tử vong là do phù phổi cấp, không phải do vaccine như thông tin lan truyền. Phù phổi xuất hiện đột ngột là một cấp cứu y tế cần được chữa trị ngay tức thì. Phù phổi cấp có thể do nguyên nhân tim mạch và không phải bệnh tim mạch. Giai đoạn mao mạch, giai đoạn kẽ và giai đoạn phế nang.